- Στάδιο ασβεστοποίησης: Σε αυτό το στάδιο οι ασβεστώσεις είναι συμπαγείς και σκληρές και προκαλούν ήπιο, χρόνιο πόνο.
- Στάδιο ρευστοποίησης: Οι ασβεστώσεις ρευστοποιούνται και έχουν μαλακή μορφή, παρόμοια με οδοντόπαστα. Σε αυτό το στάδιο η ασβεστοποιός τενοντίτιδα είναι πολύ επώδυνη για τον ασθενή. Συχνά συμπτώματα είναι η δυσκολία στην κίνηση του άνω άκρου και ο έντονος πόνος που μπορεί να αντανακλά ως τον αγκώνα ή/και τον αυχένα.
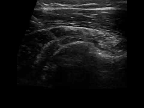
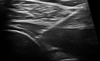
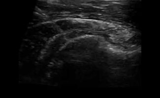
Ποιος είναι ο ρόλος του Υπερηχογραφήματος στη διάγνωση Ασβεστοποιού Τενοντίτιδας;
Παρότι η αρχική διάγνωση της Ασβεστοποιού Τενοντίτιδας μπορεί να γίνει και με απλή ακτινογραφία ώμου, το Υπερηχογράφημα είναι η ενδεδειγμένη μέθοδος απεικόνισης των ασβεστώσεων, καθώς παρέχει λεπτομερείς πληροφορίες για το μέγεθος, τη θέση τους και το στάδιο στο οποίο βρίσκονται.
Όταν οι ασβεστώσεις βρίσκονται στο στάδιο της ρευστοποίησης μπορούν να απεικονιστούν υπερηχογραφικά, αλλά να μην απεικονιστούν στην απλή ακτινογραφία. Επιπλέον, το Υπερηχογράφημα παρέχει τη δυνατότητα μελέτης των τενόντων ώστε να διαπιστωθεί αν συνυπάρχει άλλο πρόβλημα, όπως ρήξη του τένοντα.
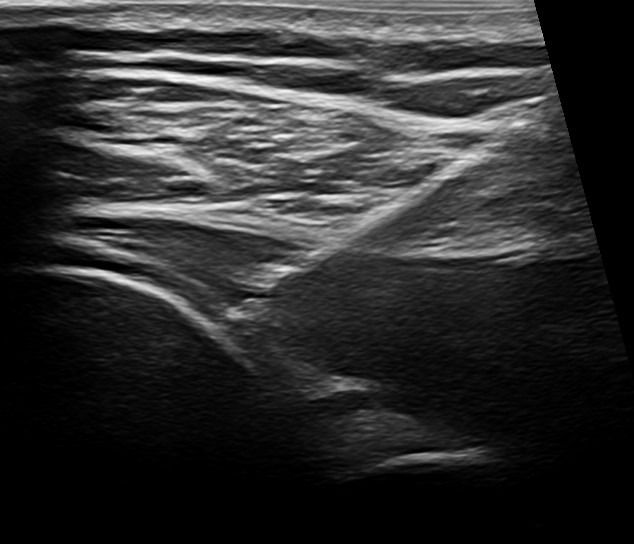
Τι είναι η θεραπεία Barbotage και ποια είναι τα πλεονεκτήματα της;
Το Barbotage αποτελεί μία σύγχρονη, ελάχιστα επεμβατική θεραπευτική τεχνική, η οποία λαμβάνει την ονομασία της από το γαλλικό ρήμα barboter (ανακατεύω/αναταράζω).
Κατά τη θεραπεία Barbotage γίνεται, με χορήγηση τοπικής αναισθησίας και υπό υπερηχογραφαγική καθοδήγηση, έκπλυση των ασβεστώσεων με φυσιολογικό ορό και έγχυση αντιφλεγμονώδους φαρμάκου στον υπακρωμιο-υποδελτοειδικό θύλακο του τένοντα.
Χάρη στην υπερηχογραφική καθοδήγηση, το Barbotage είναι μια αποτελεσματική και απόλυτα ασφαλής διαδικασία. Η χρήση του υπερήχου εξασφαλίζει τόσο την αποφυγή ζωτικών σημείων, όπως αγγείων και νεύρων, όσο και τη στοχευμένη έγχυση του θεραπευτικού μέσου ακριβώς στο σημείο των ασβεστώσεων, όπου χρειάζεται.
Σε αντίθεση με την υπερηχογραφικά καθοδηγούμενη έγχυση, η ‘τυφλή’ (χωρίς υπερηχογραφική καθοδήγηση) έγχυση έχει μικρότερη αποτελεσματικότητα, καθώς δεν έχει τη δυνατότητα στοχευμένης έκπλυσης των ασβεστώσεων.
Τι πρέπει να κάνει ο ασθενής μετά τη θεραπεία Barbotage;
Μετά τη θεραπεία Barbotage, συνιστάται ο ασθενής να λάβει μη-στεροειδή αντιφλεγμονώδη φάρμακα από το στόμα για λίγες μέρες και να αποφύγει την έντονη σωματική δραστηριότητα. Η φυσικοθεραπεία μπορεί να ξεκινήσει μία εβδομάδα μετά τη θεραπεία, ενισχύοντας το θεραπευτικό αποτέλεσμα. Η θεραπεία Barbotage επιφέρει άμεση ανακούφιση από τον πόνο και έχει πολύ καλά άμεσα και μακροχρόνια αποτελέσματα.

