Τι μπορεί να απεικονιστεί με το Διακολπικό Υπερηχογράφημα;
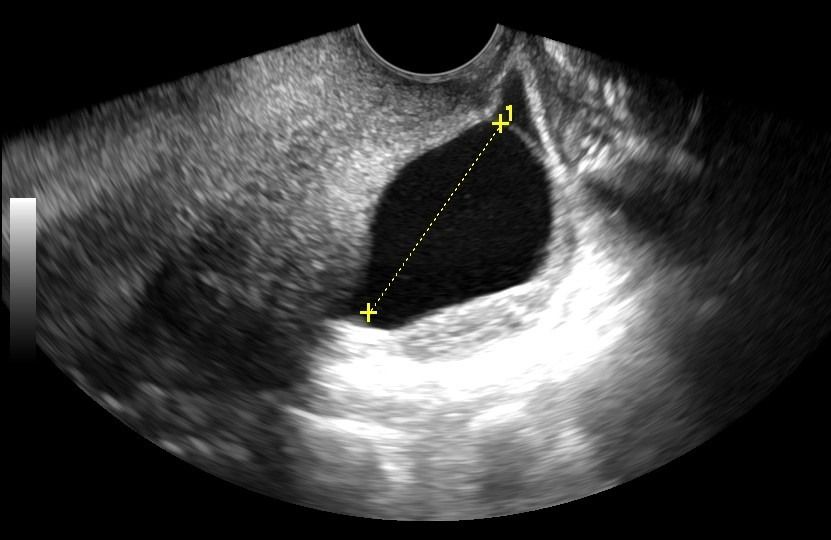
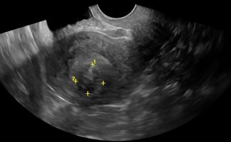
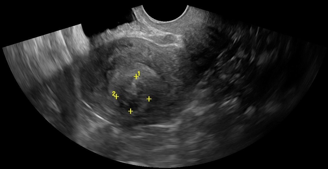
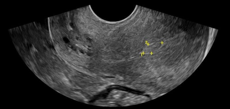
- Μήτρα: Με το Διακολπικό Υπερηχογράφημα, μπορεί να αξιολογηθεί το μυομήτριο και να εντοπιστεί η παρουσία ινομυωμάτων. Το πάχος του ενδομητρίου μπορεί να μετρηθεί με ακρίβεια, κάτι που είναι κρίσιμο τόσο για γυναίκες αναπαραγωγικής ηλικίας όσο και για γυναίκες μετά την εμμηνόπαυση ή μετά από θεραπευτικά σχήματα για νεοπλάσματα.
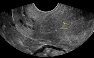
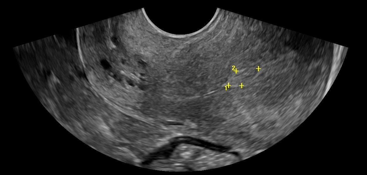
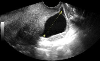
- Ωοθήκες: Η απεικόνιση των ωοθηκών περιλαμβάνει την αξιολόγηση του μεγέθους, της μορφολογίας και της υφής τους. Με το Διακολπικό Υπερηχογράφημα, μπορούν να μετρηθούν τα ωοθυλάκια και να διερευνηθεί η παρουσία συνδρόμου πολυκυστικών ωοθηκών. Οι εστιακές βλάβες στις ωοθήκες, συμπαγείς ή κυστικές, μπορούν να αξιολογηθούν ως καλοήθεις ή ύποπτες, με τη βοήθεια του Έγχρωμου Doppler για την απεικόνιση της αγγείωσης και της ροής του αίματος.
Πώς πραγματοποιείται το Διακολπικό Υπερηχογράφημα και τι προετοιμασία χρειάζεται;
Το διακολπικό υπερηχογράφημα εκτελείται με τη χρήση ειδικής ηχοβόλου κεφαλής που εισάγεται στον κόλπο για ακριβή απεικόνιση των εσωτερικών οργάνων. Η προετοιμασία για την εξέταση περιλαμβάνει:
- Κατανάλωση Νερού: Η ασθενής πρέπει να πιει 2-3 ποτήρια νερό πριν την εξέταση και να αποφύγει την ούρηση. Αυτό βοηθά στην καλύτερη απεικόνιση της κάτω κοιλίας κατά την αρχική υπερηχογραφική εξέταση.
- Στάδια Εξέτασης: Η εξέταση αρχίζει με το Υπερηχογράφημα Κάτω Κοιλίας (υπερηβικά) για τη γενική εικόνα των εσωτερικών οργάνων, και στη συνέχεια συνεχίζεται με τη διακολπική εξέταση μετά την ούρηση για πιο ακριβή αξιολόγηση της μήτρας και των ωοθηκών.
Πότε είναι προτιμότερο το Διακολπικό Υπερηχογράφημα αντί για το Υπερηχογράφημα Κάτω Κοιλίας;
Το Διακολπικό Υπερηχογράφημα προσφέρει αρκετά πλεονεκτήματα σε σύγκριση με το Υπερηχογράφημα Κάτω Κοιλίας σε συγκεκριμένες περιπτώσεις:
- Αναλυτική Αξιολόγηση: Το Διακολπικό Υπερηχογράφημα επιτρέπει μια πιο αναλυτική εξέταση της μήτρας και των ωοθηκών, κάνοντας το ιδιαίτερα χρήσιμο για την εκτίμηση του ενδομητρίου καθώς και για την ανίχνευση κυστικών ή συμπαγών βλαβών στις ωοθήκες.
- Ακρίβεια: Για την ακριβή μέτρηση του πάχους του ενδομητρίου και την αξιολόγηση της ωοθηκικής δομής, το Διακολπικό Υπερηχογράφημα παρέχει σαφέστερα αποτελέσματα σε σχέση με το υπερηχογράφημα κάτω κοιλίας.
- Διαγνωστική Αξιοπιστία: Σε περιπτώσεις ύποπτων ή ασαφών προηγούμενων ευρημάτων, το Διακολπικό Υπερηχογράφημα προσφέρει υψηλότερη διαγνωστική ακρίβεια, επιτρέποντας ακριβή διάγνωση και λεπτομερή παρακολούθηση της κατάστασης.

