Υπερηχογράφημα Θυρεοειδούς και Ελαστογραφία

Το Υπερηχογράφημα Θυρεοειδούς Αδένα είναι σημαντικό διαγνωστικό εργαλείο για την αξιολόγηση και παρακολούθηση του θυρεοειδούς αδένα, καθιστώντας το ένα από τα πιο αξιόπιστα μέσα διάγνωσης πιθανών παθήσεων.

AdobeStock 326422964

Τι μπορούμε να ελέγξουμε με το Υπερηχογράφημα Θυρεοειδούς Αδένα;

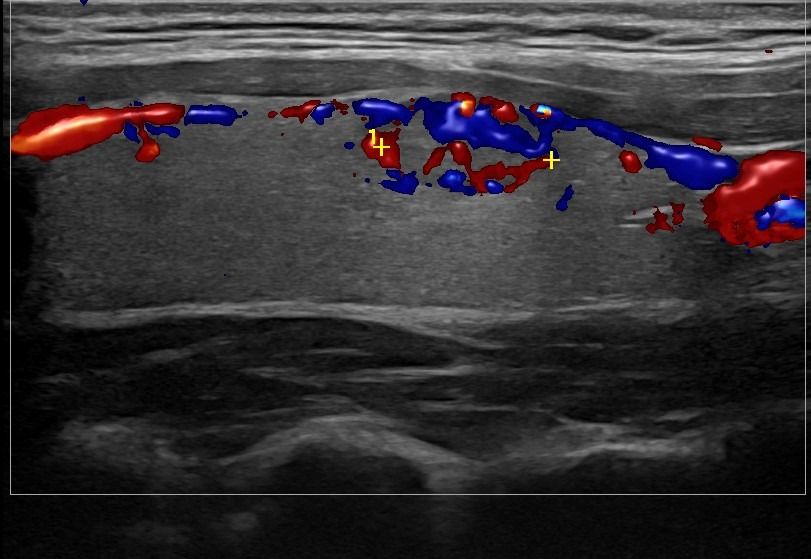
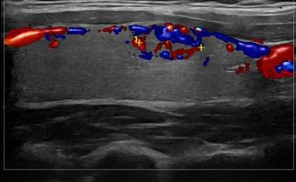
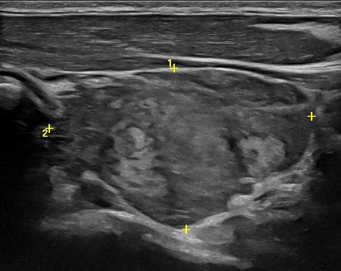
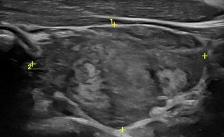
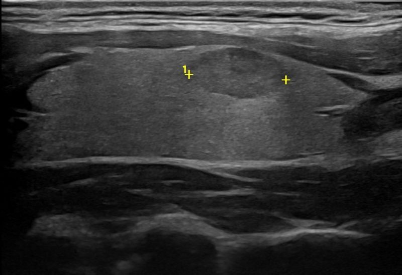
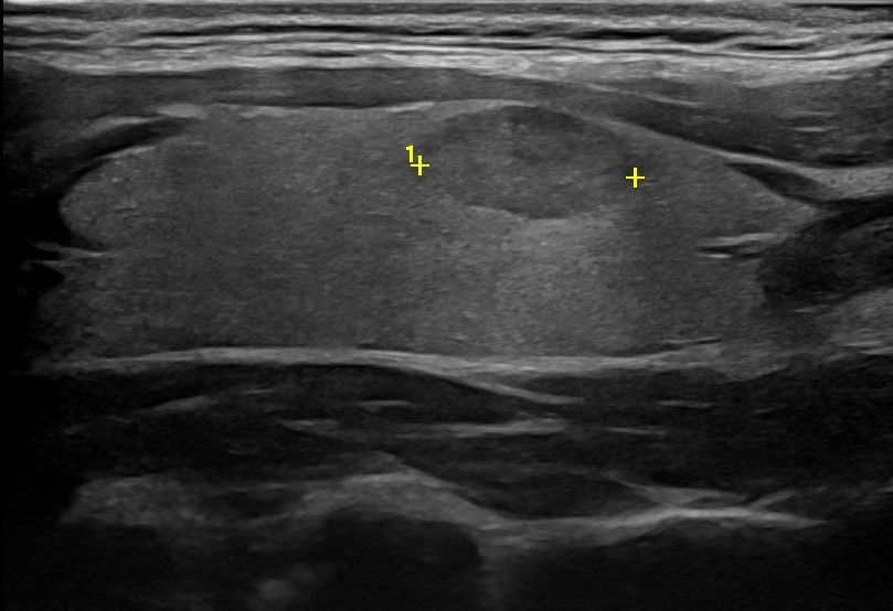
Με την τριπλή μελέτη του Θυρεοειδούς Αδένα, που περιλαμβάνει το B-Μode, το Έγχρωμο Υπερηχογράφημα και την Ελαστογραφία, γίνεται μια ολοκληρωμένη χαρτογράφηση του θυρεοειδούς αδένα. Το περίγραμμα, η αγγείωση και η ελαστικότητα του αδένα, καθώς και η υφή μίας πιθανής βλάβης αξιολογούνται με ακρίβεια και αξιοπιστία.

Πέραν των βασικών δομικών στοιχείων, το υπερηχογράφημα αποκαλύπτει πληροφορίες κρίσιμης σημασίας. Με αξιοσημείωτη ακρίβεια, ένας εξειδικευμένος Ιατρός- Ακτινολόγος ανιχνεύει και αξιολογεί:

  • Διάχυτες νόσους (Θυρεοειδίτιδα Hashimoto)
  • Εστιακές αλλοιώσεις (όζοι του θυρεοειδούς αδένα)
  • Κακοήθεις βλάβες (καρκίνος θυρεοειδούς)

Ποια άλλα σημεία μπορούν να απεικονιστούν με το Υπερηχογράφημα Θυρεοειδούς Αδένα;

Το Υπερηχογράφημα επιπλέον αποτελεί ιδανική μέθοδο για την απεικόνιση των παραθυρεοειδών αδένων και την ανίχνευση πιθανών αδενωμάτων ή άλλων βλαβών. Η υψηλή ευκρίνεια των εικόνων εξασφαλίζει την αξιόπιστη ανίχνευση και αξιολόγηση τους.

Επιπλέον, το υπερηχογράφημα παρέχει τη δυνατότητα απεικόνισης των λεμφαδένων της περιοχής, εξασφαλίζοντας μία ολοκληρωμένη απεικόνιση της περιοχής του τραχήλου.

Πώς διενεργείται το Υπερηχογράφημα Θυρεοειδούς Αδένα και τι προετοιμασία χρειάζεται;

Το Υπερηχογράφημα Θυρεοειδούς Αδένα αποτελεί μια ανώδυνη διαδικασία. Κατά την εξέταση, ο ασθενής ξαπλώνει σε ύπτια θέση και εφαρμόζεται ζελέ στην περιοχή του θυρεοειδούς αδένα. Η εξέταση δεν απαιτεί κάποια ειδική προετοιμασία από τον ασθενή και ο χρόνος διάρκειάς της είναι περίπου 20 λεπτά.

Σχόλια ασθενών

Εγγραφείτε στο Newsletter μας

Επικοινωνήστε μαζί μας

Επικοινωνήστε μαζί μας