Τι μπορούμε να ελέγξουμε με το Triplex Καρωτίδων και Σπονδυλικών Αρτηριών;
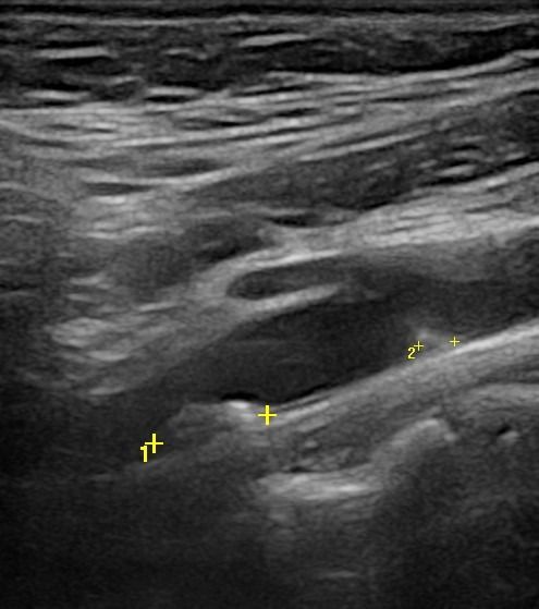
- Στένωση Καρωτιδικών Αγγείων: Η στένωση των καρωτιδικών αρτηριών μπορεί να αυξήσει την πιθανότητα εγκεφαλικού επεισοδίου. Το Triplex βοηθάει στη μέτρηση του ποσοστού στένωσης, επιτρέποντας την αξιολόγηση του κινδύνου.
- Αθηρωματικές Πλάκες: Η ποιότητα και η σταθερότητα των αθηρωματικών πλακών είναι κρίσιμη για την πρόβλεψη του κινδύνου αποκόλλησης και εμφάνισης εγκεφαλικού επεισοδίου. Η εξέταση εντοπίζει αν οι πλάκες είναι μαλακές και ασταθείς.
Ποιες τεχνικές χρησιμοποιούνται στο Triplex Καρωτίδων και Σπονδυλικών Αρτηριών;
Για την αξιολόγηση των καρωτιδικών και σπονδυλικών αρτηριών χρησιμοποιούνται οι εξής τεχνικές:
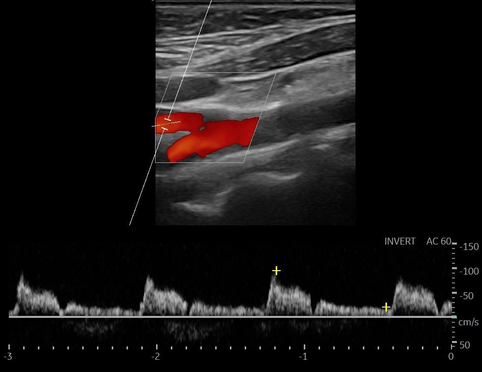
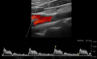
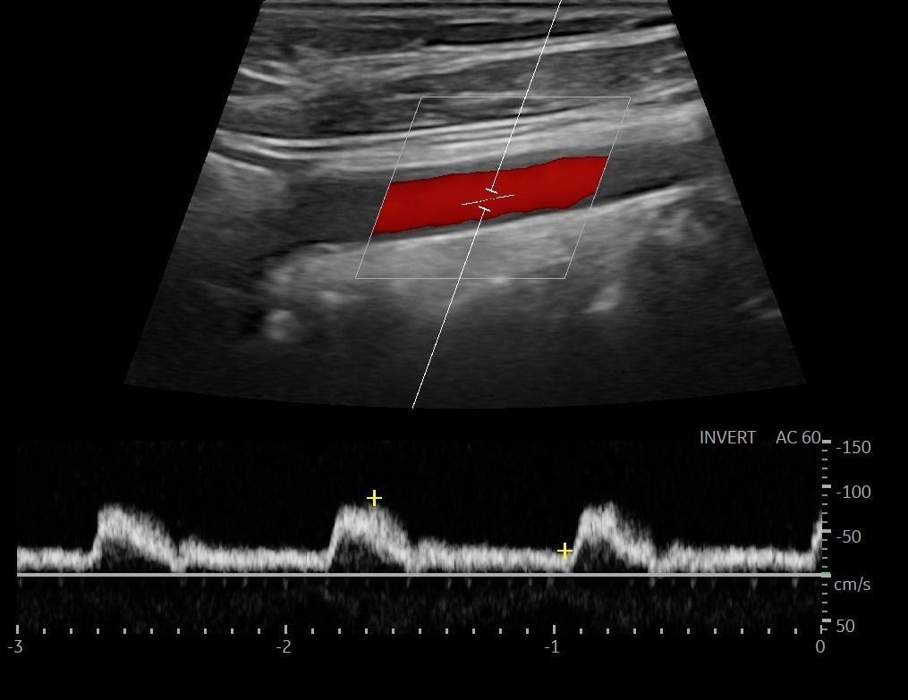
- Έγχρωμο Doppler: Αξιολογεί την ταχύτητα και την κατεύθυνση της ροής του αίματος, προσδιορίζοντας την ύπαρξη και το ποσοστό στένωσης των αρτηριών.
- Παλμικό Doppler: Παρέχει πληροφορίες για τις διακυμάνσεις της ροής του αίματος, βοηθώντας στην αναγνώριση πιθανών αιμοδυναμικών διαταραχών.
- Ελαστογραφική Μελέτη: Εξετάζει την ελαστικότητα της αθηρωματικής πλάκας, διαπιστώνοντας αν είναι μαλακή και ασταθής, γεγονός που μπορεί να επηρεάσει την πιθανότητα αποκόλλησης και να έχει σαν επακόλουθο ισχαιμικό εγκεφαλικό επεισόδιο.
Πώς πραγματοποιείται το Triplex Καρωτίδων και Σπονδυλικών Αρτηριών και τι προετοιμασία χρειάζεται;
Η συγκεκριμένη εξέταση δεν απαιτεί προετοιμασία. Ο ασθενής είναι σε ύπτια θέση και η Ιατρός τοποθετεί ειδικό ζελέ υπερήχων στην περιοχή εξέτασης. Το Triplex Καρωτίδων και Σπονδυλικών Αρτηριών γίνεται με την χρήση ειδικού ηχοβολέα υψηλής ευκρίνειας. Η εξέταση είναι ανώδυνη και έχει διάρκεια περίπου 30 λεπτά.


