Τι μπορούμε να ελέγξουμε με το Triplex Φλεβών Κάτω Άκρων;
Το Triplex Φλεβών Κάτω Άκρων μας δίνει τη δυνατότητα να εξετάσουμε τις φλέβες με ακρίβεια και αξιοπιστία. Το Triplex μας επιτρέπει να ανιχνεύσουμε περιπτώσεις εν τω βάθει ή επιπολής φλεβοθρόμβωσης και να εξετάσουμε την παρουσία ανεπάρκειας στις φλέβες (κιρσοί).
Πόσο σημαντικός είναι ο έλεγχος με Triplex Φλεβών Κάτω Άκρων αν υπάρχουν συμπτώματα;
Με το Triplex Φλεβών Κάτω Άκρων γίνεται διάγνωση θρόμβωσης στις φλέβες. Η παρουσία θρόμβωσης είναι στοιχείο κρίσιμο για τη ζωή του ασθενούς και απαιτεί άμεση αντιμετώπιση και φαρμακευτική αγωγή. Μπορεί να είναι το αποτέλεσμα χειρουργείου, τραυματισμού, κλινοστατισμού ή ακόμα και αεροπορικού ταξιδιού. Το οίδημα και ο πόνος είναι τα συνήθη συμπτώματα. Η έγκαιρη διάγνωση και θεραπεία της θρόμβωσης μπορεί να σώσει ζωές.
Τι μπορούμε να διαγνώσουμε με το Triplex Αρτηριών Κάτω Άκρων;
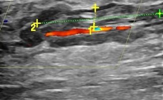
Με το Triplex Αρτηριών Κάτω Άκρων μπορούμε να αξιολογήσουμε αν υπάρχει παθολογία στις αρτηρίες. Συνήθεις παθολογίες στις αρτηρίες είναι τα ανευρύσματα και οι στενώσεις. Με το Triplex μπορούμε να υπολογίσουμε με ακρίβεια το βαθμό στένωσης στις αρτηρίες και να διαπιστώσουμε αν υπάρχει απόφραξη. Η δυνατότητα διάγνωσης παθολογιών στις αρτηρίες των κάτω άκρων με τη χρήση του Triplex είναι πολύ χρήσιμη για την αντιμετώπιση αγγειακών προβλημάτων, καθώς πρόκειται για παθήσεις που μπορούν να οδηγήσουν σε σοβαρές συνέπειες αν δεν ανιχνευθούν έγκαιρα.
Πώς πραγματοποιείται το Triplex Φλεβών και Αρτηριών Κάτω Άκρων;
Η διαδικασία του Triplex Φλεβών και Αρτηριών Κάτω Άκρων είναι απλή και ανώδυνη, ενώ δεν απαιτείται προετοιμασία από τον ασθενή. Οι εξετάσεις μπορούν να διενεργηθούν ενώ ο ασθενής βρίσκεται σε όρθια, καθιστή, αλλά και ύπτια θέση, καθώς οι διάφορες θέσεις μπορεί να αποκαλύψουν την παθολογία. Η Ιατρός τοποθετεί ζελέ στην περιοχή των Κάτω Άκρων και η εξέταση ολοκληρώνεται σε περίπου 30 λεπτά.

