Ποια όργανα ελέγχονται με το Υπερηχογράφημα Άνω και Κάτω Κοιλίας και την Ελαστογραφία;
Με το Υπερηχογράφημα Άνω Κοιλίας μπορούμε να μελετήσουμε τα εξής όργανα:
- Ήπαρ
- Χοληδόχος κύστη
- Χοληφόρα αγγεία
- Πάγκρεας
- Σπλήνα
- Νεφρούς
Με το Υπερηχογράφημα Κάτω Κοιλίας μπορούμε να μελετήσουμε:
- Την ουροδόχο κύστη
- Τα έσω γεννητικά όργανα
Ποιες παθολογίες μπορούν να διαγνωσθούν με το Έγχρωμο Υπερηχογράφημα Άνω Κοιλίας και την Ελαστογραφία;
Με Υπερηχογράφημα Άνω Κοιλίας και την Ελαστογραφία ελέγχονται εστιακές ή διάχυτες αλλοιώσεις στα συμπαγή όργανα, όπως το ήπαρ, οι νεφροί και το πάγκρεας. Η διάγνωση περιλαμβάνει:
- Χρόνιες ηπατοπάθειες
- Λιπώδη διήθηση ήπατος
- Κίρρωση
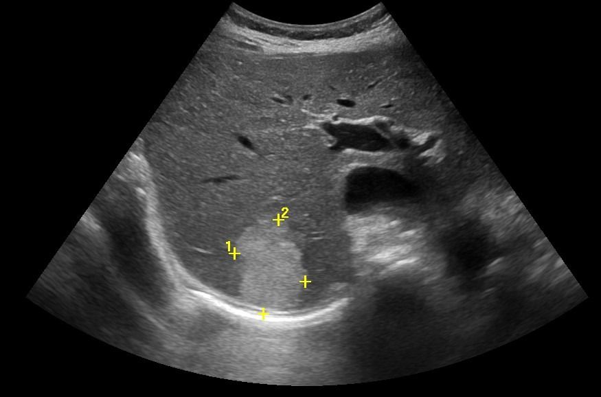
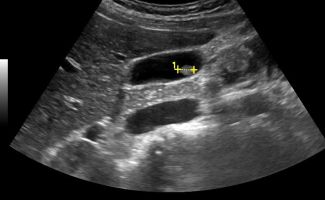
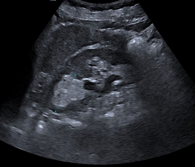
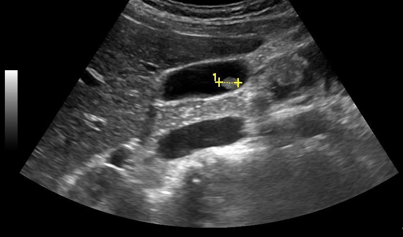
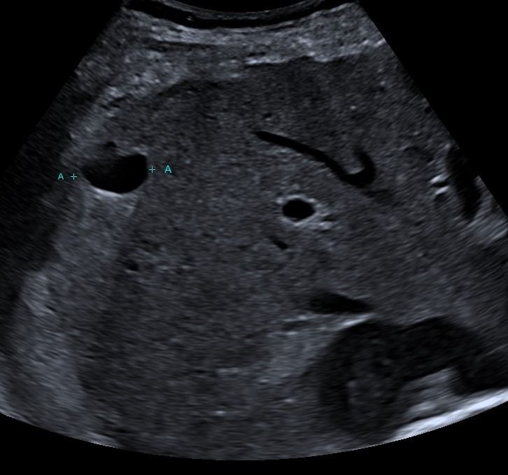
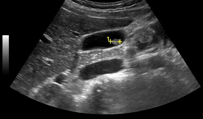
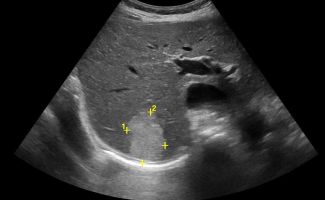
- Κυστικές αλλοιώσεις (κύστεις σε ήπαρ, νεφρούς, πάγκρεας)
- Συμπαγείς βλάβες όπως αιμαγγειώματα, αιμαγγειωμυολιπώματα, ή νεοπλάσματα στο ήπαρ, τους νεφρούς, και το πάγκρεας
Επιπλέον, το υπερηχογράφημα μπορεί να ανιχνεύσει λίθους στη χοληδόχο κύστη ή τους νεφρούς. Η διάγνωση των λίθων σε ασυμπτωματικούς ασθενείς στα πλαίσια του Check-Up επιτρέπει την έγκαιρη θεραπευτική αντιμετώπιση, όταν υπάρχει ένδειξη, καθώς και την ενημέρωση του ασθενούς για πιθανά μελλοντικά συμπτώματα ή επιπλοκές.
Η ανίχνευση λιθίασης σε ασθενείς με συμπτώματα (κοιλιακό άλγος, κωλικό) επιτρέπει την αξιολόγηση της βαρύτητας της νόσου:
- Σε περίπτωση χολολιθίασης: χολοκυστίτιδα, παρουσία λίθου στο χοληδόχο πόρο, παγκρεατίτιδα
- Σε περίπτωση νεφρολιθίασης: βαθμός διάτασης του πυελοκαλυκικού (αποχετευτικού) συστήματος του νεφρού, διερεύνηση της εντόπισης του λίθου (στο νεφρό, τον ουρητήρα ή την ουροδόχο κύστη)
Ποιες τεχνικές χρησιμοποιούνται στην εξέταση του ήπατος;
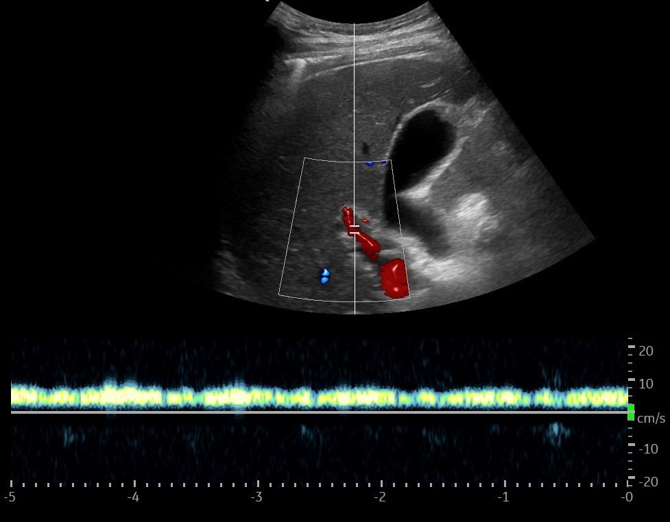
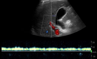
Με το Τriplex Σπληνοπυλαίου Άξονα αξιολογείται η πυλαία υπέρταση, συνήθως σε έδαφος χρόνιας ηπατοπάθειας και η βατότητα ή θρόμβωση της πυλαίας φλέβας και των ηπατικών φλεβών.
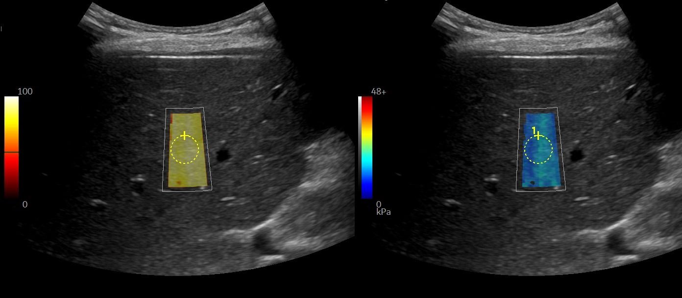
Με την Eλαστογραφία Ήπατος γίνεται αξιολόγηση της ελαστικότητας του ήπατος και υπολογισμός του βαθμού λιπώδους διήθησης ή/και ίνωσης, σε περίπτωση χρόνιας ηπατοπάθειας.
Τι μπορούμε να διαγνώσουμε με το Τriplex Κοιλιακής Αορτής;
Το Triplex Κοιλιακής Αορτής μπορεί να αξιολογήσει την παρουσία αθηρωμάτωσης ή στένωσης της κοιλιακής αορτής και να ανιχνεύσει πιθανό ανεύρυσμα.
Ποιες παθολογίες εντοπίζονται με το Υπερηχογράφημα Κάτω Κοιλίας;
Το Yπερηχογράφημα Kάτω Kοιλίας αξιολογεί την ουροδόχο κύστη και τα έσω γεννητικά όργανα. Η πλήρωση της ουροδόχου κύστεως είναι απαραίτητη για τη διερεύνηση παθολογιών όπως:
- Λιθίαση
- Τοιχωματικές βλάβες
- Συμπαγείς βλάβες (όπως θηλώματα)
Στους άνδρες, αξιολογείται ο προστάτης, με μέτρηση των διαστάσεων και εκτίμηση του βαθμού υπερτροφίας και του κυστικού υπολείμματος μετά την ούρηση.
Στις γυναίκες, εξετάζονται η μήτρα και οι ωοθήκες, με μέτρηση του πάχους του ενδομητρίου και διερεύνηση για βλάβες όπως:
- Ινομυώματα
- Πολύποδες
Οι ωοθήκες ελέγχονται για την αξιολόγηση της μορφολογίας τους και πιθανών κύστεων ή συμπαγών βλαβών, καθώς και για τον έλεγχο σε περιπτώσεις υποψίας συνδρόμου πολυκυστικών ωοθηκών.


