Κατανόηση της Τενοντίτιδας και των Αιτίων της
Η τενοντίτιδα μπορεί να επηρεάζει διαφορετικές περιοχές του σώματος, όπως τον ώμο, τον αγκώνα, τον καρπό, το ισχίο, το γόνατο και τον αστράγαλο. Συχνά προκύπτει λόγω επαναλαμβανόμενων κινήσεων, υπερβολικής καταπόνησης ή απότομων τραυματισμών. Οι αθλητικές δραστηριότητες, η χειρωνακτική εργασία και ορισμένες ιατρικές παθήσεις μπορούν επίσης να συμβάλουν στην εμφάνιση της τενοντίτιδας. Με την πάροδο του χρόνου, η συνεχής τριβή στους τένοντες μπορεί να προκαλέσει μικροσκοπικές ρωγμές, φλεγμονή και πόνο.
Παραδοσιακές Θεραπείες της Τενοντίτιδας
Η παραδοσιακή θεραπεία της τενοντίτιδας περιλαμβάνει την ανάπαυση, τον πάγο, τη φυσικοθεραπεία και τα αντιφλεγμονώδη φάρμακα. Αν και αυτές οι μέθοδοι μπορούν να παρέχουν ανακούφιση για ορισμένους ασθενείς, δεν καταπολεμούν το πρόβλημα στη ρίζα του και δεν προωθούν τη μακροπρόθεσμη ίαση.
Ποιες είναι οι Υπερηχογραφικά Καθοδηγούμενες Θεραπείες της Τενοντίτιδας;
Οι υπερηχογραφικά καθοδηγούμενες ενέσιμες θεραπείες έχουν αναδειχθεί ως πολύτιμα εργαλεία στη διαχείριση της τενοντίτιδας και είναι οι εξής:
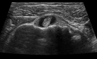
- Έγχυση Kορτικοστεροειδούς στο περίβλημα (έλυτρο) του τένοντα: Η έγχυση με κορτιζόνη καταστέλλει τη φλεγμονή γύρω από τον τένοντα, οδηγώντας στην άμεση ανακούφιση του ασθενούς από το πόνο και το πρήξιμο. Η στοχευμένη διενέργεια αυτών των ενέσεων είναι πολύ σημαντική: η έγχυση πρέπει να γίνει στο περίβλημα του τένοντα, και όχι στο εσωτερικό του, καθώς η έγχυση στο εσωτερικό μπορεί να προκαλέσει φθορά και ρήξη του τένοντα. Τα μηχανήματα υπερήχων μας παρέχουν το απαραίτητο επίπεδο ακρίβειας καθώς καθοδηγούμε τη βελόνα με ταυτόχρονη απεικόνιση και διοχετεύουμε το φάρμακο εκεί ακριβώς που χρειάζεται. Επομένως, το επίπεδο ακρίβειας που εγγυάται η απεικόνιση σημαίνει ότι υπάρχει υψηλή πιθανότητα η θεραπεία να είναι ακόμα πιο αποτελεσματική.
- Βελονισμός (Dry Needling) του τένοντα: Ο Βελονισμός (Dry Needling) του τένοντα είναι μία σύγχρονη, ελάχιστα επεμβατική τεχνική, κατά την οποία γίνεται θυριδοποίηση του τένοντα, δημιουργία, δηλαδή, μικρών τρυπημάτων. Σκοπός της είναι να διαταράξει τη χρόνια εκφυλιστική διαδικασία, ενθαρρύνοντας μία θεραπευτική αντίδραση στον τένοντα μέσω της τοπικής αιμορραγίας και της παραγωγής ινικών κυττάρων. Η αντίδραση αυτή οδηγεί σε επούλωση και αποκατάσταση της τενοντίτιδας. Η τεχνική ονομάζεται Dry Needling (Στεγνός Βελονισμός) για να τονιστεί ότι η τοποθέτηση της βελόνας στον τένοντα είναι ο κύριος λόγος που ο τένοντας βελτιώνεται και όχι κάποιο φάρμακο που χρησιμοποιείται. Ο βελονισμός των τενόντων είναι ασφαλής και έχει χαμηλό κίνδυνο σε σχέση με πιο επεμβατικές διαδικασίες.
- Έγχυση PRP (Platelet-Rich Plasma): Η έγχυση PRP (Platelet Rich Plasma) είναι μια επαναστατική θεραπεία για χρόνιους τραυματισμούς, η οποία βασίζεται στο πλάσμα πλούσιο σε αιμοπετάλια (Platelet-Rich Plasma/PRP). Τα αιμοπετάλια περιέχουν αυξητικούς παράγοντες που είναι σημαντικοί για την την αναπαραγωγή και επούλωση των ιστών. Με τη συγκέντρωση των αιμοπεταλίων στο PRP, ο στόχος είναι να παραδοθεί μεγαλύτερη συγκέντρωση αυτών των παραγόντων στην περιοχή που πλήττεται, προωθώντας την επούλωση του τραύματος. Η τεχνική περιλαμβάνει τη λήψη μίας μικρής ποσότητας αίματος του ασθενούς, το οποίο φυγοκεντρείται ώστε να διαχωριστεί το πλάσμα που είναι πλούσιο σε αιμοπετάλια. Το προκύπτον πλάσμα εγχέεται, με την καθοδήγηση υπερήχου, στο σημείο της βλάβης, οδηγώντας σε επιτάχυνση της θεραπείας της τενοντίτιδας. Για την ενίσχυση του θεραπευτικού αποτελέσματος, το PRP συνδυάζεται με τον Βελονισμό (Dry Needling), ο οποίος γίνεται πριν την έγχυση του πλάσματος.
Πλεονεκτήματα Των Υπερηχογραφικά Καθοδηγούμενων Ενέσεων στη Θεραπεία της Τενοντίτιδας
- Απόλυτη Ακρίβεια: Οι υπέρηχοι επιτρέπουν στους Ιατρούς-Ακτινολόγους να εντοπίζουν με ακρίβεια τον φλεγμονώδη τένοντα και να οπτικοποιούν τη θέση της βελόνας κατά τη διάρκεια της ενέσεως. Αυτή η στοχευμένη προσέγγιση εξασφαλίζει την τοποθέτηση της ένεσης με ακρίβεια στην περιοχή που πλήττεται, βελτιώνοντας την αποτελεσματικότητά της.
- Ενισχυμένη Επούλωση: Οι ενέσεις PRP περιέχουν συγκεντρωμένο μείγμα των παραγόντων ανάπτυξης από τα αιμοπετάλια του ασθενούς τα οποία ενθαρρύνουν τη φυσική διαδικασία επούλωσης του τένοντα. Αυτό οδηγεί σε βελτιωμένη αναγέννηση των ιστών και μείωση της φλεγμονής στον χρόνο.
- Ασφαλείς: Σε σύγκριση με την ενέσιμη θεραπεία χωρίς υπερηχογραφική καθοδήγηση (τυφλή ένεση), η εικόνα πραγματικού χρόνου επιτρέπει στον ιατρό να διεξάγει την ένεση ακριβώς στο σημείο που χρειάζεται, αποφεύγοντας επικίνδυνες περιοχές όπως τα νεύρα και τα αγγεία.
- Φιλικές προς τον ασθενή: Οι υπερηχογραφικά καθοδηγούμενες ενέσιμες θεραπείες είναι καλά ανεκτές από τον ασθενή και δεν τον ταλαιπωρούν περαιτέρω, προσφέροντας ανακούφιση από τον πόνο.
Κλινικές Εφαρμογές
Οι υπερηχογραφικά καθοδηγούμενες ενέσιμες θεραπείες μπορούν να αντιμετωπίσουν περιστατικά τόσο οξείας όσο και χρόνιας τενοντίτιδας, καθώς και διάφορους τύπους τενοντίτιδας όπως:
- Έξω Επικονδυλίτιδα: Γνωστή και ως Tennis Elbow, καθώς συναντάται συχνά τους αθλητές του τένις, πρόκειται για τενοντίτιδα που επηρεάζει τους τένοντες στην εξωτερική πλευρά του αγκώνα, συχνά προκαλούμενη από επαναλαμβανόμενες κινήσεις καρπού και βραχίονα.
- Έσω Επικονδυλίτιδα: Γνωστή και ως Golfer’s Elbow, επηρεάζει τους τένοντες στην εσωτερική πλευρά του αγκώνα, συνήθως προκαλούμενη από επαναλαμβανόμενη κάμψη του καρπού και περιστροφή του βραχίονα.
Οι υπερηχογραφικά καθοδηγούμενες ενέσιμες θεραπείες έχουν επαναπροσδιορίσει τη θεραπεία της τενοντίτιδας, προσφέροντας ασφάλεια, ακρίβεια, ενισχυμένη δυνατότητα επούλωσης, μειωμένες παρενέργειες και άμεση ανακούφιση. Οι υπέρηχοι συνεχίζουν να εξελίσσονται, παρέχοντας προηγμένες και αποτελεσματικές λύσεις για τη διαχείριση της τενοντίτιδας και άλλων ορθοπεδικών παθήσεων. Η επιλογή της ιδανικής ιατρικής προσέγγισης εξαρτάται από τις ιδιαιτερότητες του περιστατικού, τις ανάγκες του κάθε ασθενούς και την εξειδίκευση του Ιατρού-Ακτινολόγου.

