Ποιες είναι οι κυριότερες χρήσεις του Υπερηχογραφήματος Μυών;
Ανάμεσα στις κύριες εφαρμογές του Υπερηχογραφήματος Μυών περιλαμβάνονται:
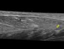
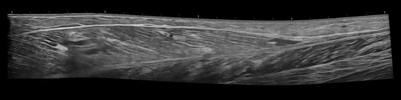
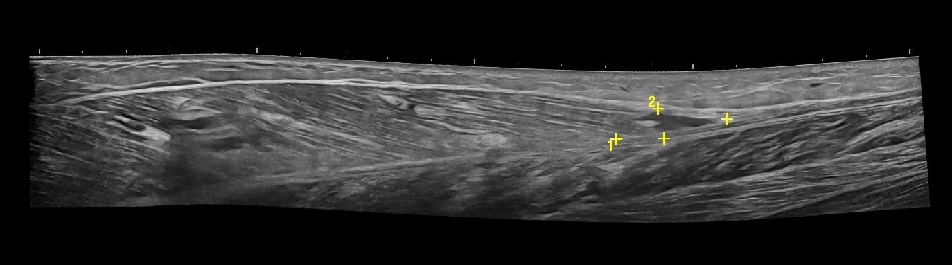
- Κατηγοριοποίηση (Grading) Θλάσεων Μυών: Το Υπερηχογράφημα Μυών μπορεί να αποτελέσει ιδανικό εργαλείο για την ανίχνευση και εκτίμηση της έκτασης μυϊκών θλάσεων μετά από τραυματισμό ή άλλα μυϊκά προβλήματα.
- Διάγνωση Μυϊκών Βλαβών: Το Υπερηχογράφημα Μυών επιτρέπει την αναγνώριση μυϊκών παθήσεων όπως τα αιματώματα, τα λιπώματα, τα νεοπλάσματα και η σημειολογία ασβεστοποιού μυοσίτιδας.
- Παρακολούθηση Ανάρρωσης: Η εξέταση μέσω Υπερηχογραφήματος επιτρέπει την παρακολούθηση της εξέλιξης της ανάρρωσης μετά από τραυματισμό ή πάθηση, προσφέροντας σημαντικές πληροφορίες σχετικά με το χρόνο επιστροφής στις κανονικές δραστηριότητες.
Ποια είναι τα πλεονεκτήματα του Υπερηχογραφήματος Μυών;
Σε σχέση με άλλες απεικονιστικές μεθόδους, όπως η Μαγνητική η ή Αξονική Τομογραφία, το Υπερηχογράφημα Μυών έχει αρκετά πλεονεκτήματα:
- Δυναμική Εξέταση: Με το Υπερηχογράφημα Μυών μπορούμε να παρατηρήσουμε τους μύες κατά τη διάρκεια διαφόρων κινήσεων, κάτι που μας επιτρέπει να ανιχνεύσουμε μυϊκές ανωμαλίες που ενδέχεται να μην είναι ορατές σε στατικές εικόνες.
- Διάγνωση Μυϊκών Κηλών: Λόγω της δυναμικής εξέτασης, το Υπερηχογράφημα των Μυών είναι η μόνη απεικονιστική μέθοδος που επιτρέπει τη διάγνωση των μυϊκών κηλών.
- Διάγνωση Θρόμβωσης: Το Υπερηχογράφημα Μυών επιτρέπει την ταυτόχρονη διάγνωση θρόμβωσης φλεβικών κλάδων, η οποία είναι πιθανόν να οφείλεται σε μετατραυματικό αποτέλεσμα μυϊκής θλάσης ή να έχει συμβεί μετεγχειρητικά.
- Φιλικό προς τον Ασθενή: Όπως όλα τα Υπερηχογραφήματα, το Υπερηχογράφημα Μυών αποτελεί μία εξέταση φιλική προς τον ασθενή, καθώς δεν επιβαρύνει τον οργανισμό με ιοντίζουσα ακτινοβολία, μαγνητικό συντονισμό ή χρήση ενδοφλέβιων σκιαγραφικών ουσιών.

