- Calcification stage: In this stage, calcifications are compact and hard, causing mild, chronic pain.
- Resorption stage: Calcifications become fluid and have a soft consistency, similar to toothpaste. In this stage, calcific tendonitis is very painful. Common symptoms include difficulty in moving the arm and intense pain that can radiate to the elbow and/or neck.
What is the role of ultrasound in the diagnosis of Calcific Tendonitis?
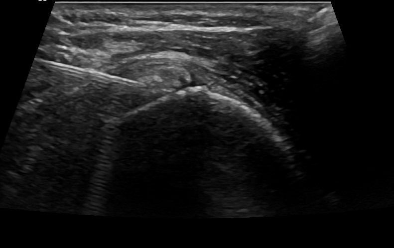
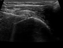
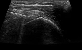
Although the initial diagnosis of Calcific Tendonitis can be made with a simple shoulder X-ray, ultrasound imaging is the recommended method for visualizing calcifications. It provides detailed information about their size, location, and stage.
When calcifications are in the resorption stage, they can be visualized with ultrasound but may not appear on a standard X-ray. Additionally, ultrasound allows for the study of tendons to determine if there are other issues, such as tendon tears.
What is Barbotage treatment, and what are its advantages?
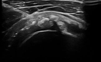
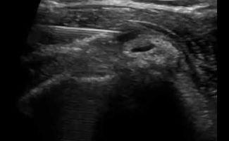
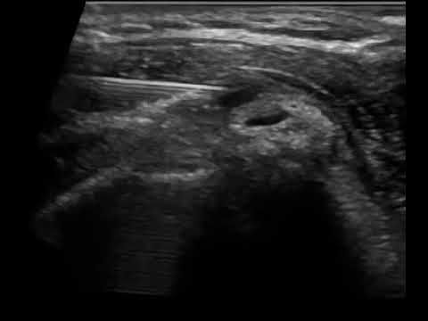
During Barbotage treatment, under local anesthesia and through a minimally invasive approach, calcifications are flushed with saline, and an anti-inflammatory drug is injected into the subacromial-subdeltoid bursa.
Thanks to ultrasound guidance, Barbotage is an effective and entirely safe procedure. The use of ultrasound ensures both the avoidance of vital structures, such as vessels and nerves, and the targeted injection of the therapeutic substance precisely where it is needed at the site of calcifications.
In contrast to blindly administered injections without ultrasound guidance, Barbotage has higher efficacy as it allows for targeted flushing of calcifications.
What should the patient do after Barbotage treatment?
After Barbotage treatment, patients are advised to take non-steroidal anti-inflammatory drugs orally for a few days and avoid intense physical activity. Physical therapy can begin a week after treatment, enhancing the therapeutic outcome. Barbotage treatment provides immediate pain relief and has very good short-term and long-term results.

