Ποιες παθολογίες μπορούν να διαγνωσθούν με το Υπερηχογράφημα Ώμου;
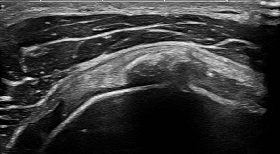
Με το Υπερηχογράφημα Ώμου μπορεί να διαγνωσθεί μία σειρά παθολογιών στους τένοντες, τους θυλάκους, τις αρθρώσεις και τους μυς του ώμου.
Παθήσεις τενόντων του ώμου
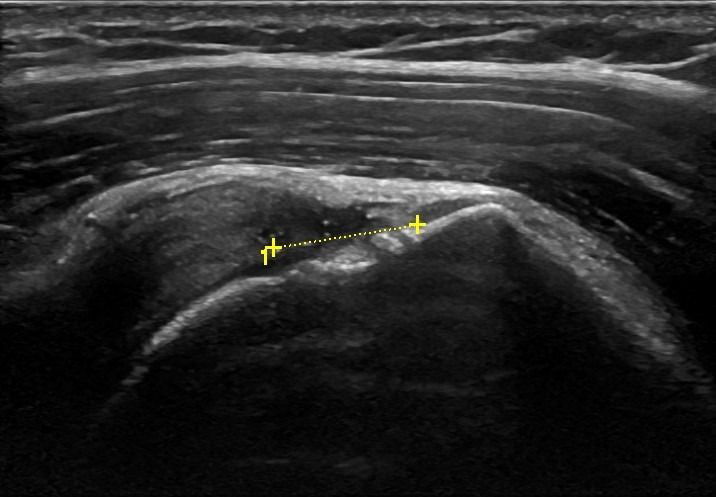
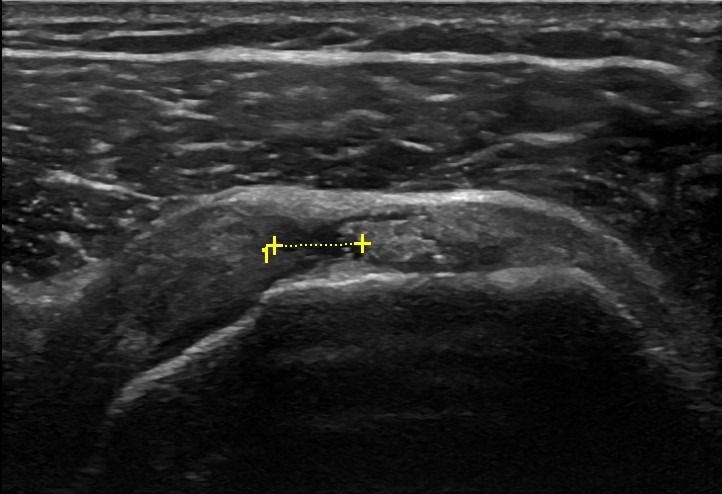
Το Υπερηχογράφημα Ώμου επιτρέπει τον εντοπισμό παθήσεων στους τένοντες του στροφικού πετάλου, όπως:
- Τενοντίτιδα
- Ασβεστοποιός Τενοντίτιδα
- Ρήξη των τενόντων (υποπλάτιος, υπερακάνθιος, υπακάνθιος και ελάσσων στρόγγυλος τένοντας)
Επιπλέον, το Υπερηχογράφημα Ώμου μπορεί να διαγνώσει τενοντοπάθεια, τενοντοελυτρίτιδα ή ρήξη στον τένοντα της μακράς κεφαλής δικέφαλου βραχιονίου.
Παθήσεις αρθρώσεων και θυλάκων του ώμου
Με το Υπερηχογράφημα Ώμου μπορεί να εντοπιστεί συλλογή υγρού στα εξής σημεία:
- Υπακρωμιο-υποδελτοειδικός θύλακος
- Yποκορακοειδής θύλακος
- Γληνοβραχιόνιος άρθρωση
Σε περιπτώσεις Ρευματοειδούς Αρθρίτιδας ή Οστεοαρθρίτιδας το υπερηχογράφημα είναι εξαιρετικά σημαντικό για τη διάγνωση υμενίτιδας στην άρθρωση του ώμου.
Παθήσεις στους Μυς του Ώμου
Εκτός από τους τένοντες και τις αρθρώσεις, το Υπερηχογράφημα Ώμου ανιχνεύει αποτελεσματικά καταστάσεις που επηρεάζουν τους μυς της περιοχής, όπως:
- Ατροφία
- Θλάσεις
- Νεόπλασμα
Ποια τα πλεονεκτήματα του Υπερηχογραφήματος Ώμου σε σχέση με άλλες μεθόδους απεικόνισης;
Το Υπερηχογράφημα Ώμου προσφέρει κάποια σημαντικά πλεονεκτήματα σε σύγκριση με άλλες απεικονιστικές μεθόδους:
- Δυναμικές δοκιμασίες: Σε αντίθεση με άλλες μεθόδους απεικόνισης, το Υπερηχογράφημα Ώμου επιτρέπει την διενέργεια δυναμικών δοκιμασίων κατά τη διάρκεια της εξέτασης. Αυτό σημαίνει ότι η εξέταση μπορεί να γίνει ενώ ο ασθενής εκτελεί συγκεκριμένες κινήσεις, κάτι που είναι ιδιαίτερα χρήσιμο για τη διάγνωση καταστάσεων όπως ο Παγωμένος Ώμος ή το Σύνδρομο Πρόσκρουσης.
- Εξέταση φιλική προς τον ασθενή: Το Υπερηχογράφημα Ώμου είναι μία ασφαλής και μη-επεμβατική εξέταση. Είναι κατάλληλη για όλους τους ασθενείς, καθώς δεν περιλαμβάνει τη λήψη ενδοφλέβιων φαρμάκων, μαγνητικό συντονισμό ή έκθεση σε ιοντίζουσα ακτινοβολία.
- Δυνατότητα Ενέσιμης Θεραπείας: Σε περιπτώσεις που αυτό ενδείκνυται, μετά τη διάγνωση της πάθησης, μπορεί να ακολουθήσει Υπερηχογραφικά Καθοδηγούμενη ενέσιμη θεραπεία.
Πώς διενεργείται και τι προετοιμασία χρειάζεται το Υπερηχογράφημα Ώμου;
Το Υπερηχογράφημα Ώμου είναι μία απλή και ανώδυνη εξέταση, η οποία δεν απαιτεί προετοιμασία από τον ασθενή. Κατά τη διάρκεια του Υπερηχογραφήματος, η Ιατρός εφαρμόζει ζελέ στην περιοχή του ώμου και εξετάζει με την ηχοβόλο κεφαλή.
Ο ασθενής παραμένει καθιστός κατά τη διάρκεια της εξέτασης και εκτελεί διάφορες κινήσεις του ώμου τις οποίες του υποδεικνύει η Ιατρός στα πλαίσια των δυναμικών δοκιμασιών. Η Υπερηχογραφική εξέταση του Ώμου διαρκεί περίπου 20 λεπτά.

