Σε ποια σημεία του σώματος μπορούμε να κάνουμε Υπερηχογράφημα Μαλακών Μορίων;
Το Υπερηχογράφημα Μαλακών Μορίων είναι μία εξέταση η οποία μπορεί να γίνει σε οποιαδήποτε περιοχή υπάρχει κάποιο ψηλαφητό εύρημα.
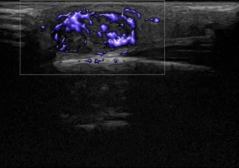
Ποιες υπερηχογραφικές τεχνικές χρησιμοποιούνται για το χαρακτηρισμό μίας βλάβης Μαλακών Μορίων;
Η τεχνική του Έγχρωμου Doppler μελετάει την αγγείωση της βλάβης. Η τεχνική του Παλμικού Doppler μελετάει την παρουσία αρτηριακών ή φλεβικών στοιχείων εντός της βλάβης. Επίσης πολύ χρήσιμη είναι η Ελαστογραφική Μελέτη η οποία μελετάει τη σκληρότητας της βλάβης. Οι τεχνικές αυτές μας βοηθούν να χαρακτηρίσουμε αν η βλάβη είναι αγγειακού τύπου και αν έχει καλοήθη η ύποπτα χαρακτηριστικά.
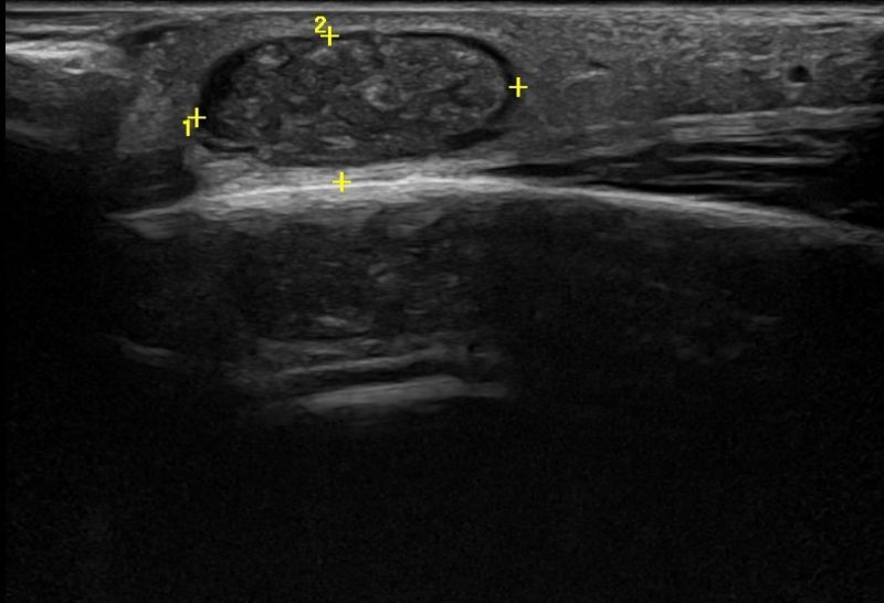
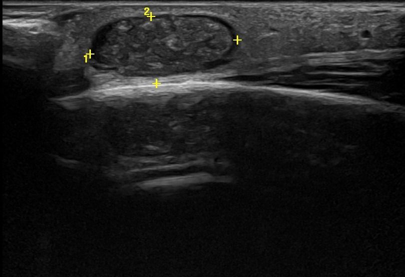
Ποιες είναι οι κατηγορίες βλαβών που μπορούν να διαγνωστούν με Υπερηχογράφημα Μαλακών Μορίων;
- Λιπώματα
- Λιπώματα χωρίς κάψα (non- encapsulated lipoma)
- Λεμφαδένες
- Αγγειακού τύπου βλάβες (π.χ. αιμαγγείωμα)
- Γάγγλια
- Κύστεις
- Νεοπλάσματα
Πως διενεργείται το Υπερηχογράφημα Μαλακών Μορίων και τι προετοιμασία χρειάζεται;
Η εξέταση δεν απαιτεί κάποια ιδιαίτερη προετοιμασία. Ο εξεταζόμενος, ανάλογα με την περιοχή του ευρήματος, εξετάζεται ξαπλωμένος ή καθιστός μετά από την τοποθέτηση ζελέ στην περιοχή. Με τη χρήση ειδικών ηχοβόλων κεφάλων υψηλής ευκρίνειας γίνεται η εξέταση. Εκτός από την ασπρόμαυρη εξέταση (B- mode) γίνεται μελέτη με έγχρωμο Power Doppler και Ελαστογραφία. Η διάρκεια της εξέτασης είναι 20-30 λεπτά.

