Oι Σιελογόνοι Αδένες (Παρωτίδες και Υπογνάθιοι Σιελογόνοι Αδένες) είναι όργανα που παράγουν το σάλιο και εντοπίζονται στην περιοχή του προσώπου και τις υπογνάθιες χώρες, αντίστοιχα. Συχνά συμπτώματα που αφορούν τους Σιελογόνους Αδένες είναι η ξηροστομία, κάποια διόγκωση στην περιοχή ή ψηλαφητή βλάβη.
Ποιες παθολογίες μπορούν να διαγνωστούν με το Υπερηχογράφημα Σιελογόνων Αδένων;
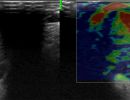
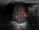
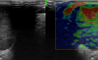
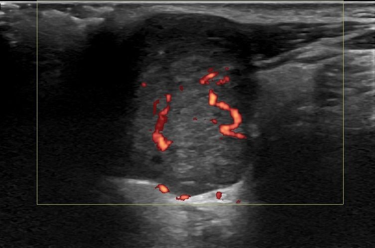
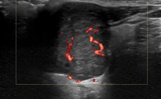
Το υψηλής ευκρίνειας Έγχρωμο Υπερηχογράφημα Σιελογόνων Αδένων με την τεχνική της Ελαστογραφικής Μελέτης μπορεί να διαγνώσει αξιόπιστα παθολογίες όπως;
- Διάταση των εκφορητικών πόρων και εντοπισμό λίθων στα πλαίσια σιελολιθίασης και σιελαδενίτιδας
- Αυτοάνοσα νοσήματα, όπως σύνδρομo Sjogren
- Εστιακές βλάβες, όπως όγκοι (πλειόμορφο αδένωμα, όγκος Warthin, λέμφωμα)
- Διογκωμένους επιχώριους λεμφαδένες
Πώς εξασφαλίζεται η αξιοπιστία της διάγνωσης με το Υπερηχογράφημα Σιελογόνων Αδένων;
Η αξιοπιστία του Υπερηχογραφήματος στη διάγνωση παθολογίας των Σιελογόνων Αδένων έχει καθιερωθεί τα τελευταία χρόνια και εξασφαλίζεται με τη χρήση Υπερηχογράφων τελευταίας γενιάς με ειδικούς υψίσυχνους ηχοβολείς και με την εξοικείωση και εμπειρία του εξεταστή-ιατρού με την ηχοανατομία και παθολογία των Σιελογόνων Αδένων και της περιοχής κεφαλής – τραχήλου.
Με ποιον τρόπο γίνεται το Υπερηχογράφημα Σιελογόνων Αδένων;
Ο ασθενής ξαπλώνει σε ύπτια θέση και η Ιατρός εφαρμόζει ζελέ στην περιοχή. Με τη χρήση ειδικού ηχοβολέα υψηλής ευκρίνειας η Ιατρός εξετάζει τους Σιελογόνους Αδένες (Παρωτίδες και Υπογνάθιοι Σιελογόνοι Αδένες). Το Υπερηχογράφημα Σιελογόνων Αδένων είναι μια ανώδυνη εξέταση και δεν απαιτεί κάποια ιδιαίτερη προετοιμασία. Ο χρόνος διάρκειας της εξέτασης είναι 20- 30 λεπτά.

