Ποιες παθολογίες μπορούν να διαγνωστούν με το Triplex Κοιλιακής Αορτής και Λαγονίων Αρτηριών;
- Αθηρωματικές Αλλοιώσεις: Το Triplex επιτρέπει τον εντοπισμό αθηρωματικών πλακών ή άλλων αλλαγών στα τοιχώματα των αγγείων που μπορεί να υποδεικνύουν αγγειακή νόσο.
- Ανευρύσματα: Μέσω του Triplex μπορεί να γίνει διάγνωση ανευρύσματος στην κοιλιακή αορτή. Η ορθή διάγνωση και παρακολούθηση ενός ανευρύσματος είναι ζωτικής σημασίας για τον ασθενή.
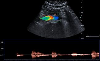
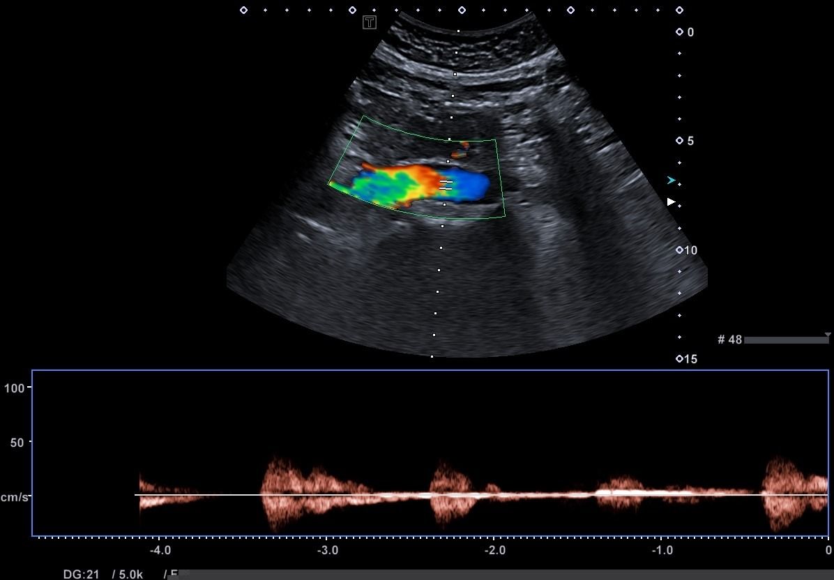
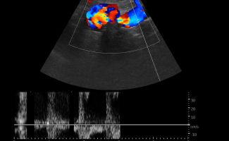
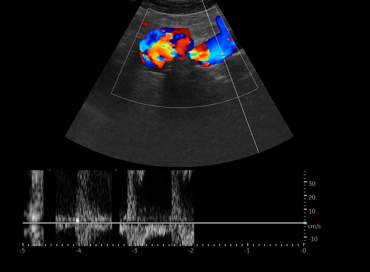
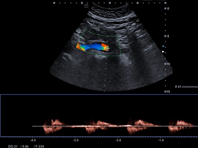
- Αιμοδυναμικές Διαταραχές: Mε τη χρήση του Έγχρωμου και του Παλμικού Doppler μπορούν να μελετηθούν οι ταχύτητες της αιματικής ροής και να ανιχνευθούν πιθανές αιμοδυναμικές διαταραχές.
- Αγγειακή Στένωση: Η αξιολόγηση της αιματικής ροής μπορεί να οδηγήσει στη διάγνωση στένωσης των αγγείων και να υπολογιστεί ο βαθμός της στένωσης.
Πόσο σημαντική είναι η διάγνωση του Triplex Κοιλιακής Αορτής και Λαγονίων Αρτηριών για τη ζωή του ασθενούς;
Οι διαγνωστικές πληροφορίες που παρέχει το Triplex Κοιλιακής Αορτής και Λαγονίων Αρτηριών είναι ιδιαιτέρως σημαντικές για τη ζωή του ασθενούς. Η παρουσία ανευρυσμάτων στην κοιλιακή αορτή είναι μία σοβαρή κατάσταση η οποία μπορεί να αποτελέσει απειλή για τη ζωή. Η έγκαιρη διάγνωση επιτρέπει τη λήψη των απαραίτητων ιατρικών μέτρων, προτού η παθολογία εξελιχθεί σε επείγουσα κατάσταση.
Επιπλέον, η αξιολόγηση της αιμοδυναμικής λειτουργίας μπορεί να αποκαλύψει πιθανές διαταραχές ή στενώσεις, η παρακολούθηση και έγκαιρη διαχείριση των οποίων είναι ζωτικής σημασίας για τη διασφάλιση της μακροζωίας.
Πως διενεργείται το Triplex Κοιλιακής Αορτής και Λαγονίων Αρτηριών και τι προετοιμασία χρειάζεται;
Το Triplex Κοιλιακής Αορτής και Λαγονίων Αρτηριών είναι μια ανώδυνη εξέταση που δεν απαιτεί κάποια προετοιμασία από τον ασθενή. Ο εξεταζόμενος βρίσκεται σε ύπτια θέση και η Ιατρός τοποθετεί ζελέ στην περιοχή της κοιλίας και πραγματοποιεί την εξέταση με τη χρήση ειδικού ηχοβολέα. Η διάρκεια της εξέτασης είναι περίπου 30 λεπτά.

