Τι είναι οι θύλακοι;
Οι θύλακοι είναι μικρές κοιλότητες κοντά στις αρθρώσεις και τους τένοντες, που περιέχουν υγρό και βοηθούν στη μείωση της τριβής μεταξύ των οστών, των τενόντων και των μυών, και την ομαλή κίνηση των αρθρώσεων. Όταν ένας θύλακος ερεθίζεται ή παρουσιάζει φλεγμονή, αυτό μπορεί να οδηγήσει σε πόνο και περιορισμένη κινητικότητα.
Πότε ενδείκνυται να γίνει έγχυση σε θύλακο;
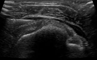
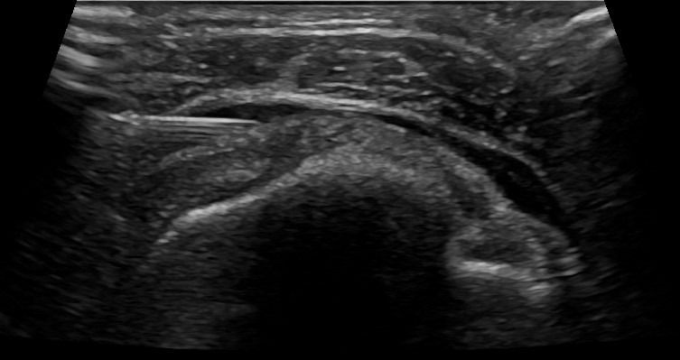
Οι υπερηχογραφικά καθοδηγούμενες εγχύσεις κορτικοστεροειδούς στους θυλάκους ενδείκνυνται για περιπτώσεις θυλακίτιδας όπως είναι η υπακρωμιο-υποδελτοειδική θυλακίτιδα, πάθηση που χαρακτηρίζεται από συλλογή υγρού και φλεγμονωδών στοιχείων στο θύλακο. Η υπακρωμιο-υποδελτοειδική θυλακίτιδα μπορεί να προκληθεί από:
- Τενοντοπάθεια
- Ρήξη τένοντα
- Σύνδρομο υπακρωμιακής προστριβής ώμου
Η έγχυση κορτικοστεροειδούς στον θύλακο πραγματοποιείται μετά τη χορήγηση τοπικού αναισθητικού και αντιμετωπίζει τα συμπτώματα γρήγορα και αποτελεσματικά.
Ποια είναι τα πλεονεκτήματα της υπερηχογραφικά καθοδηγούμενης έγχυσης σε θύλακο;
Η καθοδήγηση του υπερήχου εγγυάται τη σωστή και ασφαλή τοποθέτηση του κορτικοστεροειδούς εντός του θυλάκου, αποφεύγοντας την πιθανή έγχυση στον τένοντα, η οποία μπορεί να προκαλέσει φθορά του.
Σε συνδυασμό με την αντιφλεγμονώδη δράση του κορτικοστεροειδούς, η υπερηχογραφική καθοδήγηση παρέχει τη δυνατότητα υδροδιάτασης του θυλάκου πριν την έγχυση του κορτικοστεροειδούς. Η υδροδιάταση περιλαμβάνει έγχυση φυσιολογικού ορού και τοπικού αναισθητικού προκειμένου να εξουδετερωθούν οι συμφύσεις εντός του θυλάκου.

