Which nerves can be visualized with Peripheral Nerve Ultrasound?
The nerves examined with Peripheral Nerve Ultrasound include:
- Brachial Plexus in the neck area
- Peripheral Nerves of the Upper Limbs (radial, ulnar, and median nerves)
- Peripheral Nerves of the Lower Limbs (femoral, sciatic, tibial, peroneal nerves)
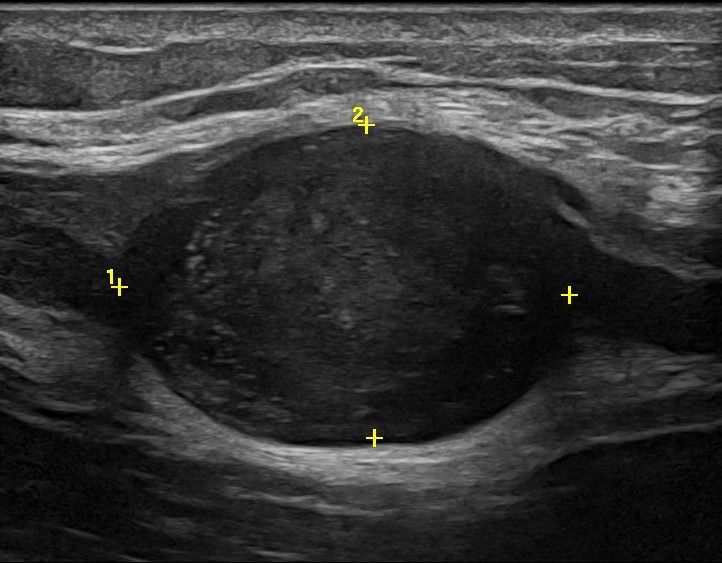
What pathologies can be diagnosed with Nerve Ultrasound?
Pathologies that can be diagnosed with Peripheral Nerve Ultrasound include:
- Entrapment Syndromes (carpal tunnel syndrome, cubital tunnel syndrome, tarsal tunnel syndrome, meralgia paresthetica)
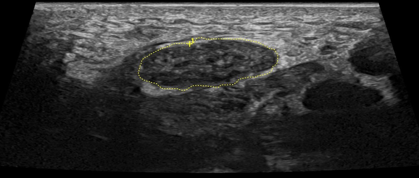
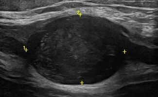
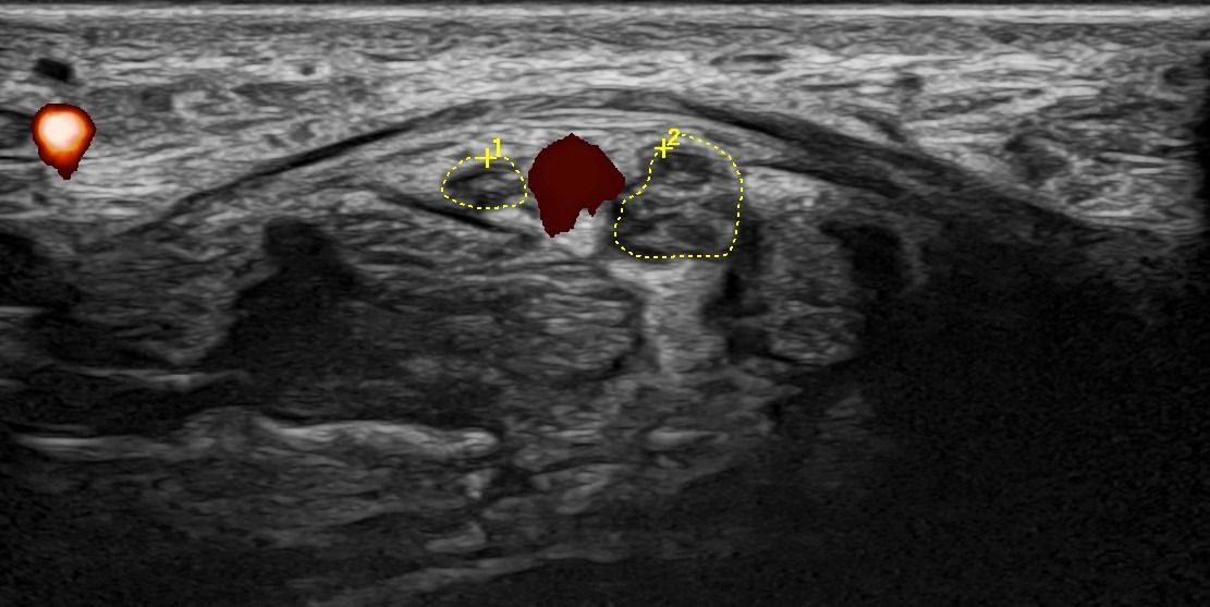
- Focal Lesions (tumors, neuromas)
- Degenerative Changes
- Injuries (trauma, laceration)
Additionally, Ultrasound can diagnose pathological conditions in muscles (atrophy) resulting from neuropathies.
As science and technology advance, Peripheral Nerve Ultrasound emerges as an invaluable tool in the diagnosis and monitoring of neurological disorders, providing diagnostic information that contributes to improving the quality of life of patients.

