How important is Breast Ultrasound for women's health?
According to international literature, Breast Ultrasound is one of the essential examinations in preventive screening for breast cancer, especially in women with dense breasts and young women due to the lack of ionizing radiation. In most countries, Breast Ultrasound has been included in breast cancer prevention programs. With Breast Ultrasound and the integration of Elastography, a thorough examination is achieved, contributing to the detection and evaluation of potential abnormalities.
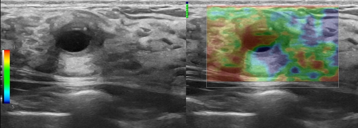
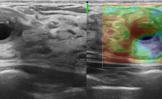
Elastography: The Additional Advantage in Breast Ultrasound
Modern ultrasound machines, equipped with advanced high-frequency transducers, techniques such as Color Doppler, Power Doppler, B-Flow, and Elastography, allow the analysis of breast architecture with exceptional accuracy.
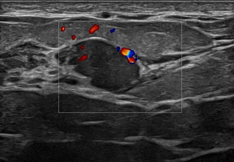
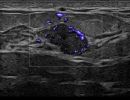
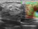
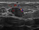
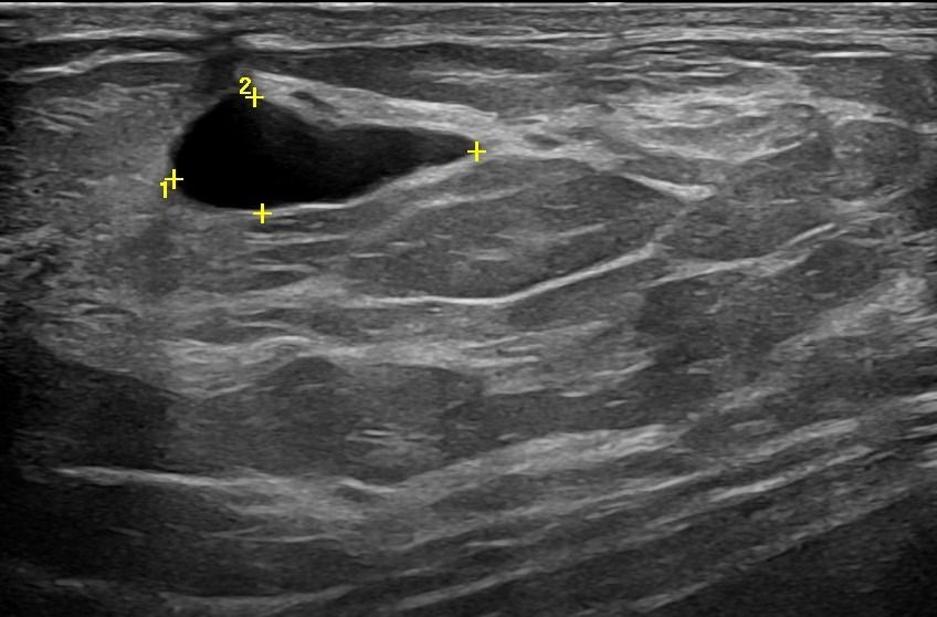
Elastography can highlight the elasticity of a lesion, indicating whether it is hard or soft. Through this technique, we can assess the nature of the lesion, providing indications of whether it is benign or malignant. Additionally, with the contribution of Color Power Doppler and B-Flow, we can monitor the vascular flow within the lesions, offering even more information about the type and nature of the abnormality.
Axillary Lymph Node Examination
In addition to breast examination, Breast Ultrasound also includes the examination of the axillary regions. Through this process, we detect any presence of lymph nodes, and with the help of Elastography, we can evaluate them.
How is Breast Ultrasound performed, and what preparation is needed?
For Breast Ultrasound, no special preparation is required from the patient. During the ultrasound scan, the patient lies on the examination bed, and the doctor applies gel to the area. Using a special high-resolution transducer, the doctor conducts a detailed examination of the breasts and axillary regions. The procedure is entirely painless and free from ionizing radiation, The duration of Breast Ultrasound is approximately 30 minutes.

