What does Hand Ultrasound Visualize?
Hand Ultrasound examines joints, tendons, ligaments, nerves, and soft tissues of the hand. Pathologies that can be diagnosed by Hand Ultrasound are numerous, including:
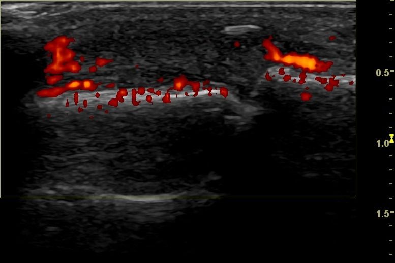
Rheumatic Diseases
- Rheumatoid Arthritis
- Psoriatic Arthritis
- Osteoarthritis
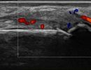
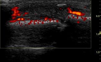
Tendon and Ligament Pathologies
- Tendonitis
- De Quervain's Tenosynovitis
- Rheumatological Tenosynovitis
Injuries to Tendons and Ligaments
- Tendon Ruptures
- Ulnar Collateral Ligament Rupture (Skier’s Thumb)
- Ligament Injuries in Flexor Tendons (Climber’s Finger)
- Ligament Injuries in Extensor Tendons (Boxer’s Knuckle)
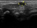
Peripheral Nerve Pathologies
- Nerve Entrapment Syndromes, such as Carpal Tunnel Syndrome
- Nerve Tumors
- Nerve Cross-Section
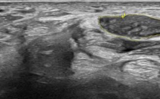
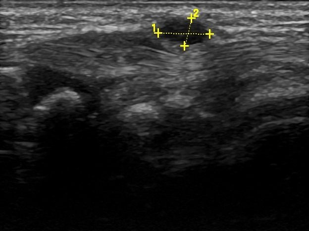
Soft Tissue Pathologies
- Lipomas
- Ganglia
- Tumors
- Foreign Bodies (glass and wood)
Advantages of Hand Ultrasound Compared to Other Imaging Methods
-
Dynamic Testing: Hand Ultrasound allows assessment of hand movement dynamically. This is particularly important for evaluating conditions affecting the range of movement, such as tendonitis and joint injuries.
-
Foreign Body Detection: During ultrasound examination of soft tissues, trapped foreign bodies which might not be visible with other imaging methods, such as glass or wood may be identified.
-
Patient-Friendly Examination: Hand Ultrasound is a safe and painless procedure suitable for all patients. It does not involve the administration of intravenous drugs, magnetic resonance coordination, or exposure to ionizing radiation.
How is Hand Ultrasound Performed, and What Preparation is Needed?
Hand Ultrasound is a simple and painless examination that does not require any preparation from the patient. Gel is applied to the patient's skin, and using a high-frequency ultrasound transducer, the radiologist conducts the examination.
During the examination, the patient remains seated and performs various hand movements as guided by the radiologist. The examination usually lasts around 30 minutes.

